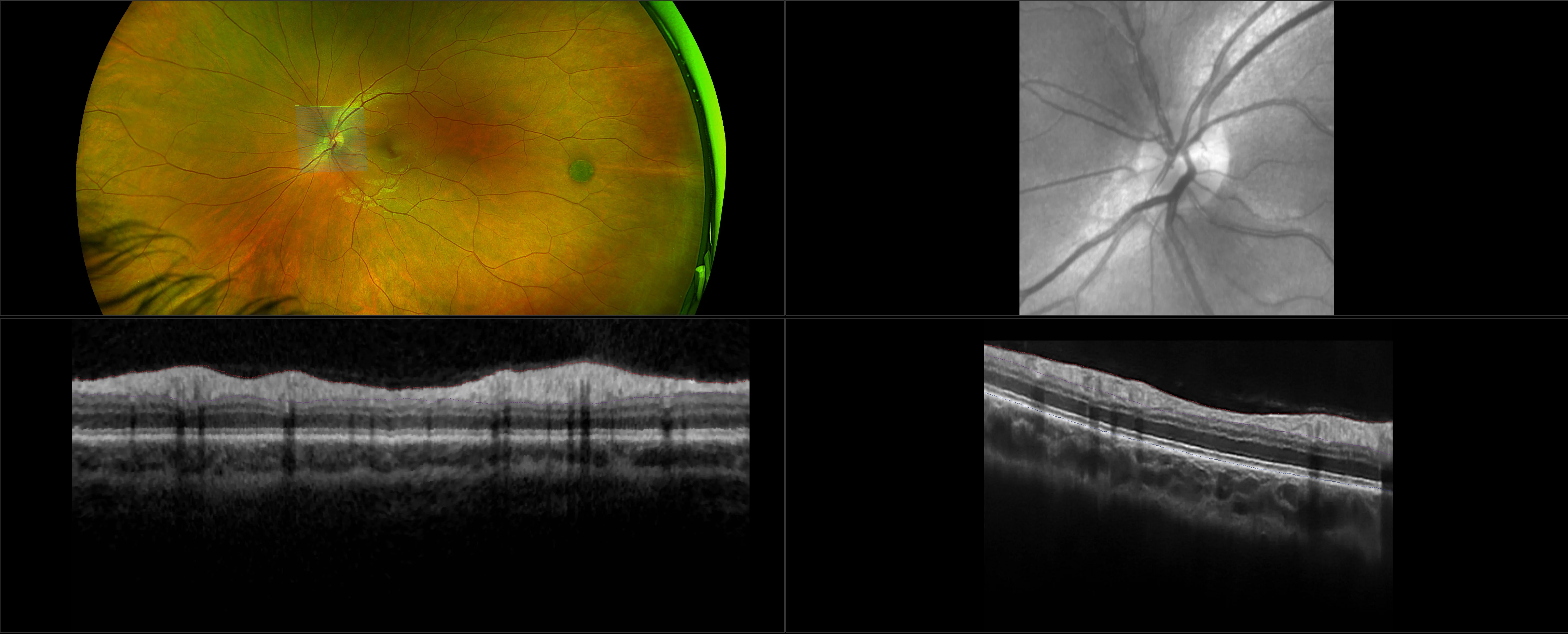
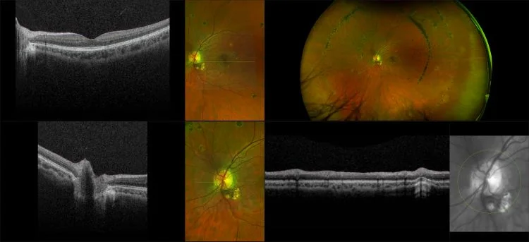
optomap® Recognizing Pathology

This material is designed as a searchable reference resource to support clinical decision-making. The information contained here should be used as general guidance when viewing optomap and OCT images from Optos devices. The differential diagnosis should be made under the direction of the responsible physician. These images were taken on the latest ultra-widefield optomap devices.

Other Disease

optomap images representing other retinal disease not found in common categories of pathology. 

How can we help?

I want to receive email updates about Optos products and services