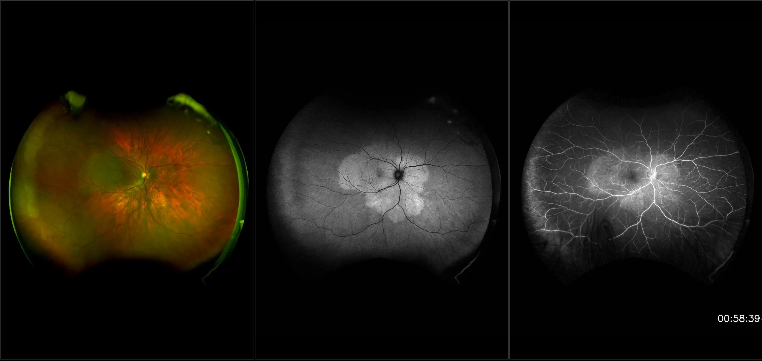
California - Posterior Uveitis with Vitreous Haze, RG, AF

Uveitis is inflammation of the uveal tract which can be caused by autoimmune disorders such as rheumatoid arthritis or infection which can be idiopathic. The uvea is responsible for the transport of blood including inflammatory cells and is critical for vision. It can occur at any age and can result from many causes including systemic disease. Uveitis can be categorized as anterior, intermediate and posterior. Posterior uveitis can cause damage to the optic nerve, abnormally high pressure in the eye, cataracts or an accumulation of fluid within the retina which may cause retinal detachment.

How can we help?

I want to receive email updates about Optos products and services