Skip to main content
Toggle navigation
Products
Patients
Providers
About Us
Contact
Customers
English
You are now leaving the Global site.
Ok
Cancel
Home
Recognizing Pathology
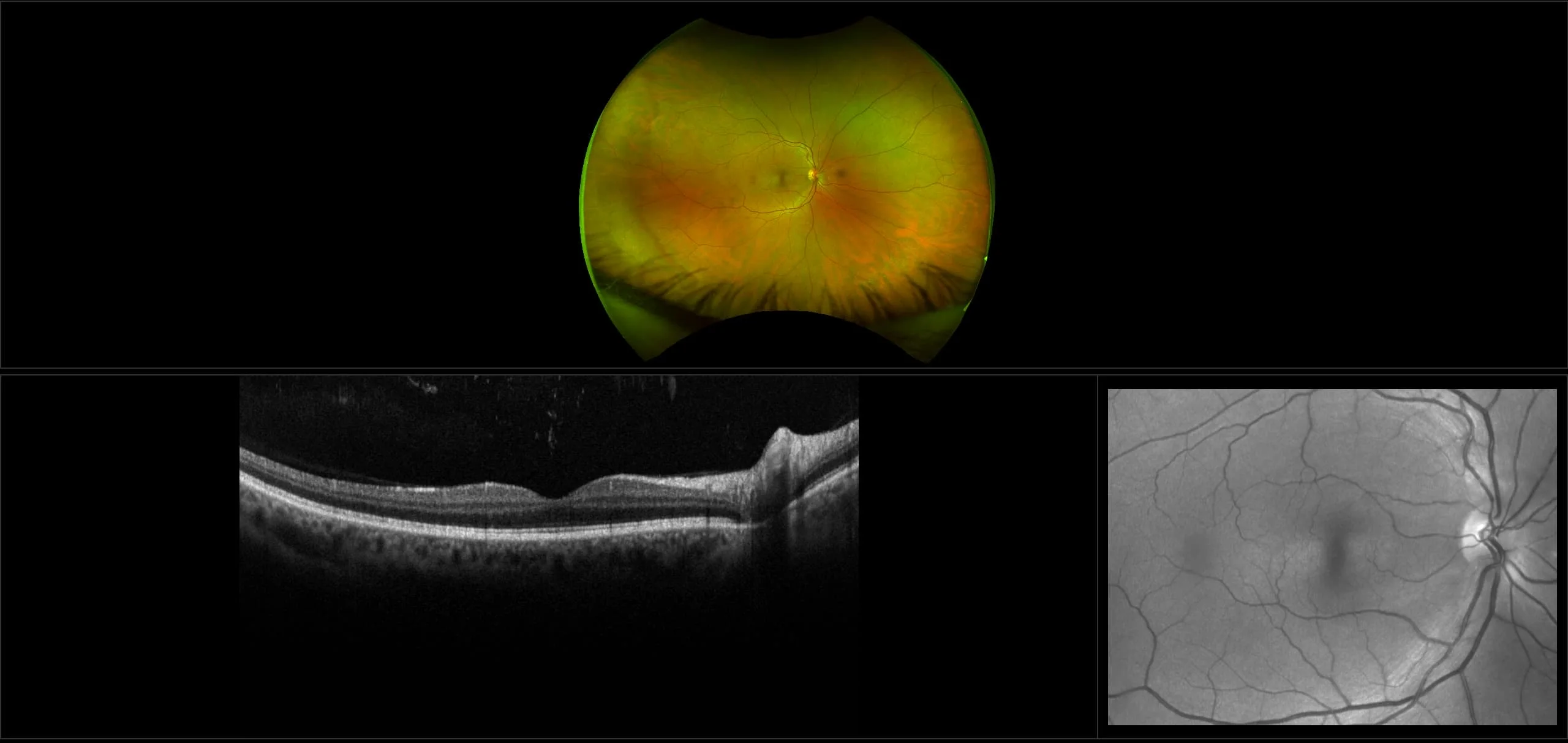
MonacoPro - Vitreous Floaters, RG, OCT
Vitreous floaters are microscopic collagen fibers within the vitreous that tend to clump and cast shadows on the retina, appearing as floaters to the patient.
View Full Case
Device
Image Modality
OCT
opto
map color
rg
How can we help?
First Name
Last Name
Organization Name
Email
Zip/Postal Code
Telephone
Comments
I want to receive email updates about Optos products and services
Yes
No
Submit
Similar Cases:
Silverstone - Anterior Ischemic Optic Neuropathy (OU), PVD (OD) - RG, RGB, FA, OCT - Line, UWF Line, Raster, Retina, ONH, Navigated Line
View Case Summary »
Silverstone - Retinitis Pigmentosa with Macular Hole and Geographic Atrophy, RG, AF, OCT
View Case Summary »
Silverstone - Retinitis Pigmentosa, RG, AF, OCT
View Case Summary »
California - Early PDR with Severe Retinal Hemes, RG, RGB, FA
View Case Summary »
California - PDR with PRP, RG, RGB, FA
View Case Summary »
California - Swollen Nerve, RG, RGB, AF
View Case Summary »
California - Coats Disease, RG, RGB, FA with Transit Phase
View Case Summary »
California - White Without Pressure, Dark Without Pressure - Montage, RG, RGB
View Case Summary »
California - Laser Demarcated Retinal Detachment, CHRPE - Montage, RG, RGB
View Case Summary »
MonacoPro - Normal, RG, OCT
View Case Summary »
Show More