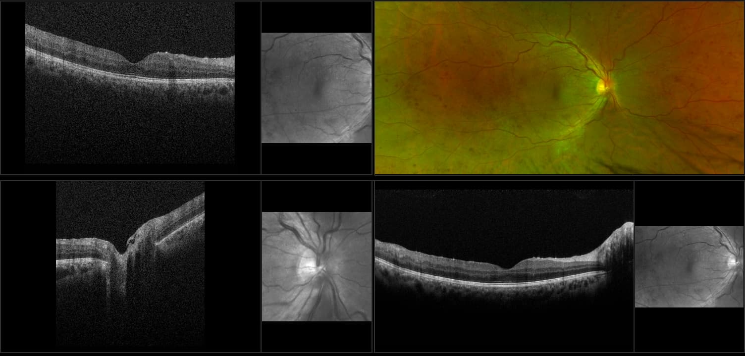
Silverstone - Branch Retinal Vein Occlusion with Disciform Scar, RG, FA, OCT

Branch retinal vein occlusion can be caused by thrombosis but is more likely to be produced by compression due to arteriolosclerosis. This occurs at arteriovenous crossing sites where there is a common adventitial sheath of each vessel. Marked A/V nicking usually precedes the occlusive process.

How can we help?

I want to receive email updates about Optos products and services