Skip to main content
Toggle navigation
Products
Patients
Providers
About Us
Contact
Customers
English
You are now leaving the Global site.
Ok
Cancel
Home
Recognizing Pathology
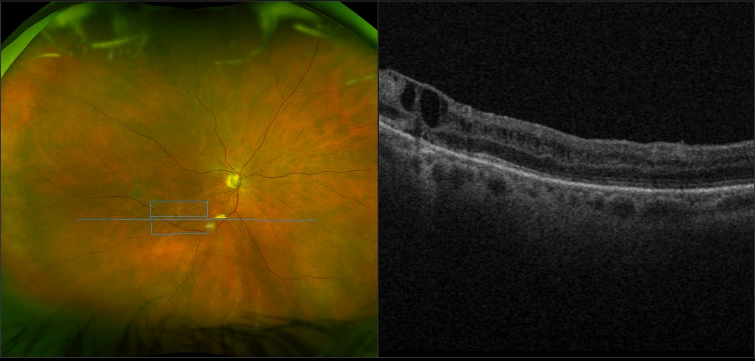
Silverstone - Macular Hole, RG, OCT
An atrophy hole (retinal hole) is simply a full thickness degenerative loss of sensory retina as compared to an erosion or excavation which is a partial thickness loss of sensory retina.
View Full Case
Device
Image Modality
OCT
opto
map color
rg
How can we help?
First Name
Last Name
Organization Name
Email
Zip/Postal Code
Telephone
Comments
I want to receive email updates about Optos products and services
Yes
No
Submit
Similar Cases:
Silverstone - Retinal Tear with Vitreous Hemorrhage (OD), Epiretinal Membrane (OS),2+ Nuclear Scleroris Cataract (OU) - RG, RGB, AF, BAF, OCT - Line, UWF Line, Raster, Retina, Navigated Line, Navigated Volume
View Case Summary »
California - Lasered Hole - Montage, RG, RGB
View Case Summary »
California - Retinal Tear with Posterior Uveitis, RG, RGB
View Case Summary »
Silverstone - Retinal Hole, RG, AF
View Case Summary »
Silverstone - Retinal Hole, RG, OCT
View Case Summary »
Silverstone - Pseudo Hole, RG, OCT
View Case Summary »
Silverstone - Posterior Vitreous Detachment, RG, OCT
View Case Summary »
MonacoPro - Pigment Epithelial Detachment, RG, OCT
View Case Summary »
MonacoPro - Pigment Epithelial Detachment, RG, OCT
View Case Summary »
MonacoPro - Pigment Epithelial Detachment with Peripheral Degeneration, RG, OCT
View Case Summary »
Show More