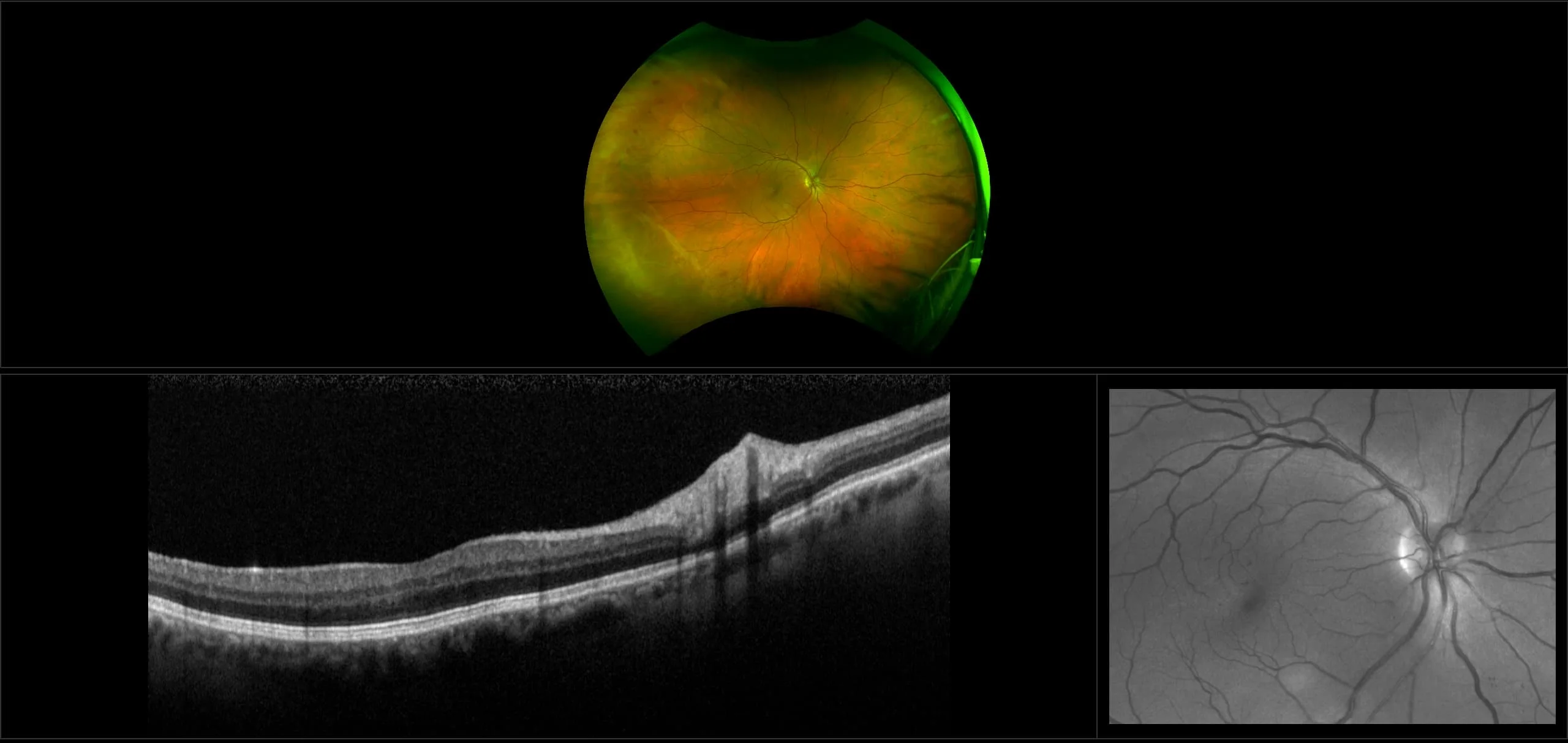
California - Proliferative Diabetic Retinopathy, RG, RGB, AF, FA

A complication of diabetes mellitis is diabetic retinopathy (DR). Diabetic retinopathy presents by affecting small blood vessels in the eye due to blockage or leakage. Over time, blood vessels can present as microaneuyrsms or hemorrhages or fluid (exudates). The number and severity of affected vessels determines the grade or retinopathy. There are basically 2 forms, non proliferative (NPDR) and proliferative (PDR). Each may have clinically significant macular edema (CSME). Pan-Retinal Photocoagulation (PRP) is a laser used to make tiny burns that seal the retina and stop vessels from growing and leaking.

How can we help?

I want to receive email updates about Optos products and services