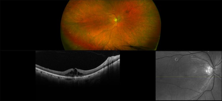
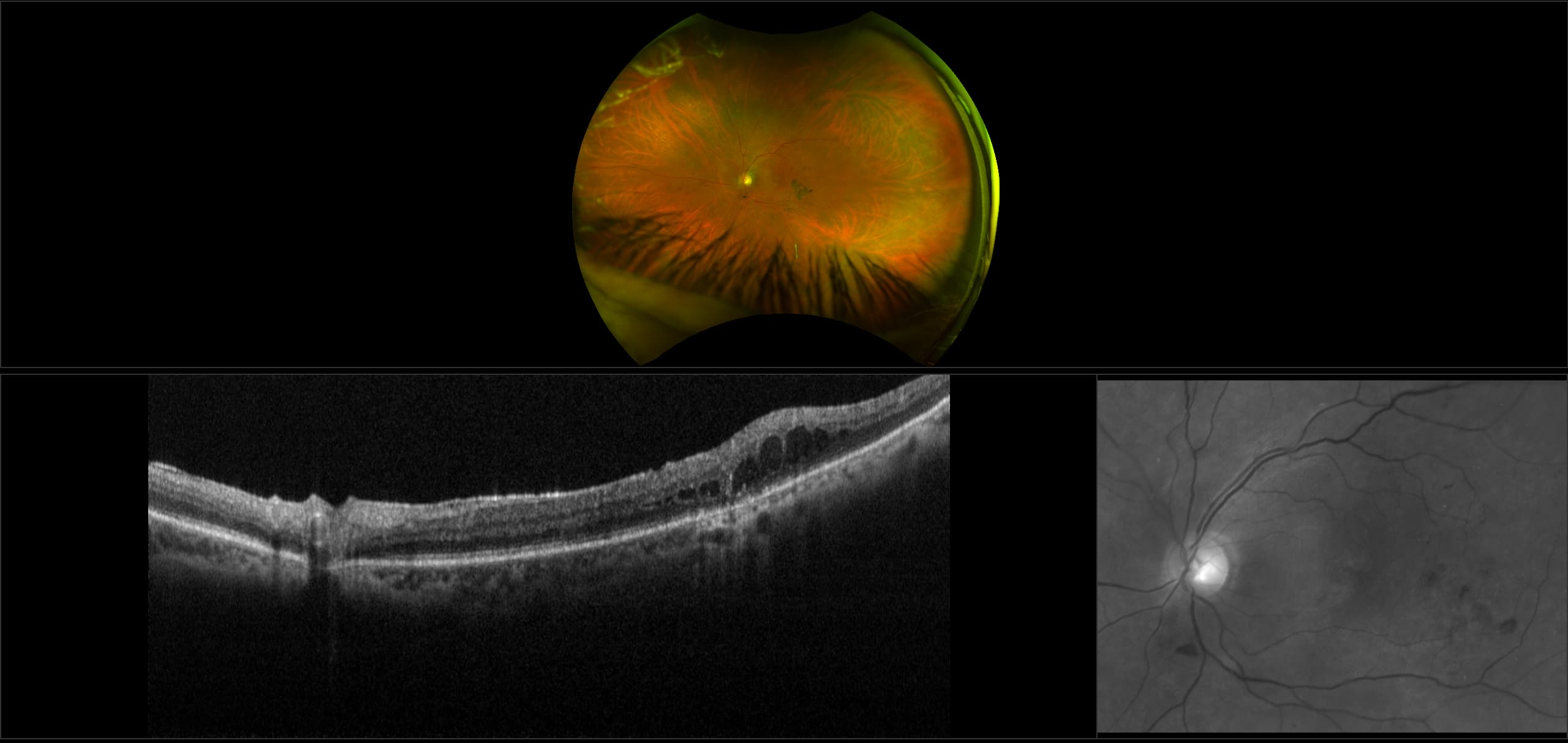
California - Macular Neovascularization, RG, RGB, AF, ICG
Category representing macular disease. For detailed optomap images, please search for specific macular pathology or disease.
Category representing macular disease. For detailed optomap images, please search for specific macular pathology or disease.