MonacoPro - Dry AMD, RG, OCT

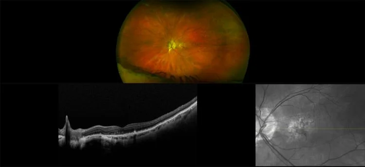
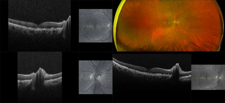
Age-related macular degeneration is found in two forms 1. Dry early form. 2. Wet (serous leakage or whole blood). Early dry form typically has drusen (usually around 63u) and RPE degeneration and only needs periodic follow-ups, intermediate dry form has large drusen (>125u) and RPE degeneration and proliferation which requires examinations every 3 to 6 months depending on the severity of the presentation.

Device

How can we help?

I want to receive email updates about Optos products and services