Recognizing Optic Disc Drusen in a Glaucoma Suspicion Case Using Multimodal Imaging
Multimodal imaging plays a critical role in evaluating patients referred for glaucoma suspicion. This case of a middle-aged male, imaged using MonacoPro, demonstrates how integrating ultra-widefield optomap imaging with Spectral Domain OCT can provide valuable structural correlation.
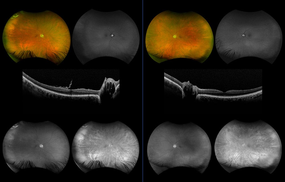
optomap color rg imaging revealed an abnormal presentation of the optic nerve, including irregular disc margins and a diminished signal from the Retinal Nerve Fiber Layer (RNFL). Additional findings included scattered macular and peripheral drusen, along with slightly tortuous vessels. These findings were all visible on RG, with the separated channels offering improved delineation.
optomap Sensory Retina imaging more clearly demonstrated the scattered drusen while also better delineating a small abnormality over the fovea in the right eye. Very limited reflectance from the nerve fiber layer was observed.
optomap Choroidal imaging visualized pigment surrounding the optic nerve head with added structural context in the choroidal view.
optomap green af (Autofluorescence) imaging showed hyperfluorescence of the optic disc, consistent with optic disc drusen in both eyes.
MonacoPro integrates multiple OCT scan types with multimodal optomap imaging. OCT analysis demonstrated thinning of the RNFL and a characteristic bumpy appearance of the Optic Nerve Head (ONH), confirming the presence of signal-poor, hyporeflective optic nerve head drusen.
The Retinal Topography volume scan further revealed that the macular abnormality observed in the right eye corresponded to an epiretinal membrane (ERM).
This case highlights the value of multimodal image correlation, where ultra-widefield imaging provides broad retinal visualization and OCT enables depth-resolved structural confirmation.

MonacoPro uniquely integrates four optomap 200° ultra-widefield imaging modalities with Spectral Domain OCT, supporting comprehensive retinal assessment within a single imaging platform.