optomap® Recognizing Pathology

This material is designed as a searchable reference resource to support clinical decision-making. The information contained here should be used as general guidance when viewing optomap and OCT images from Optos devices. The differential diagnosis should be made under the direction of the responsible physician. These images were taken on the latest ultra-widefield optomap devices.

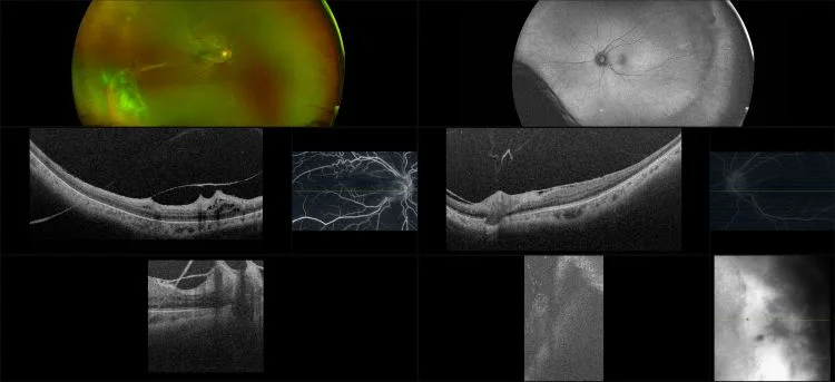
Sickle Cell Retinopathy

Sickle cell retinopathy when sickled red blood cells block small vessels in the eye, new blood vessels form that are weaker and can cause bleeding into the eye.

How can we help?

I want to receive email updates about Optos products and services