optomap® Recognizing Pathology

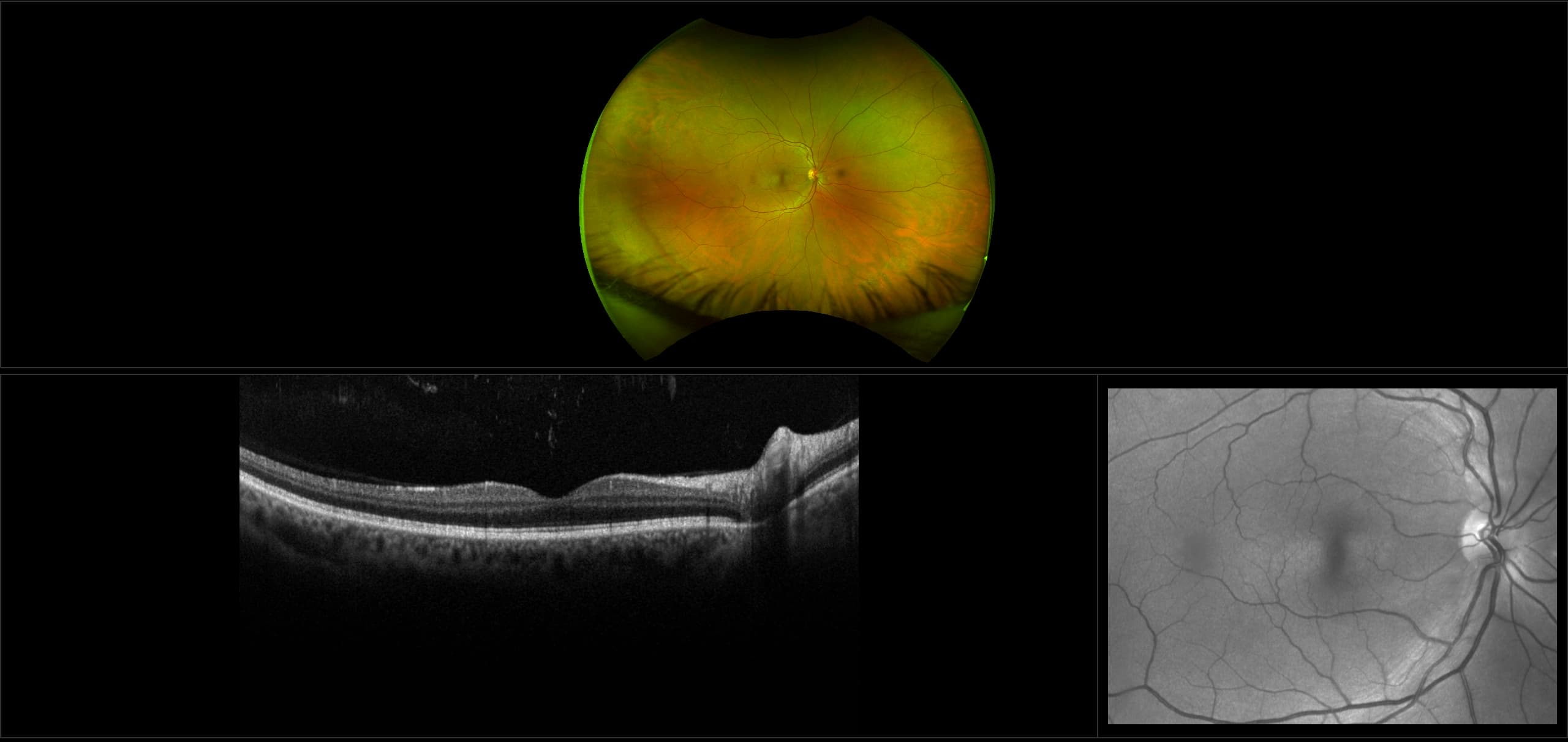
This material is designed as a searchable reference resource to support clinical decision-making. The information contained here should be used as general guidance when viewing optomap and OCT images from Optos devices. The differential diagnosis should be made under the direction of the responsible physician. These images were taken on the latest ultra-widefield optomap devices.

The Cases and Images

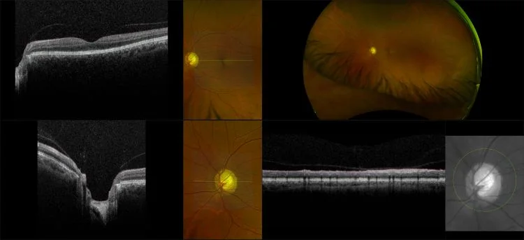
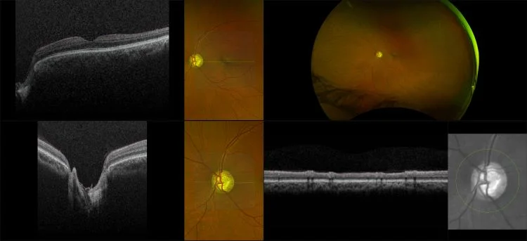
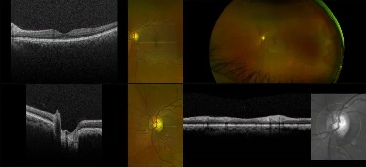
optomap Recognizing Pathology is searchable by pathology and/or optomap image modality. You may search by multiples of each selection. Each individual case is represented by the accompanying thumbnail image. Most cases include several different optomap image modalities. To view a full description of the case, please click on the thumbnail. Each image in the case will be made available through our OptosAdvance software which provides multi-dimensional visualization of digital images to aid in the analysis of anatomy and pathology. Support and pathology definitions can be found by selecting one of the buttons, above. Should you have questions, please complete the form below.

Devices
Pathology
Image Modality

How can we help?

I want to receive email updates about Optos products and services