
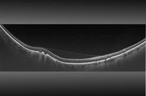
Swept-Source OCT
Swept-source facilitates examination of the retina from vitreous through the choroidal-scleral interface. The SS-OCT and UWF combination produces a 200° single-capture optomap image in less than ½ second and enables guided OCT scanning across the retina and into the far periphery. The image shown is a 23 mm line scan.